Tratamentos modernos e eficientes para você. Cuidamos do seu sorriso com planejamento e foco em resultados.
Nosso objetivo é oferecer o tratamento ideal para o seu caso, com planejamento, tecnologia e foco no resultado.
.
Extrações de siso e outras cirurgias. Cuidado total para seu conforto e segurança.
Lentes de contato, clareamento e facetas para o sorriso que você sempre quis.
Tratamento de canal especializado para eliminar a dor e salvar o seu dente.
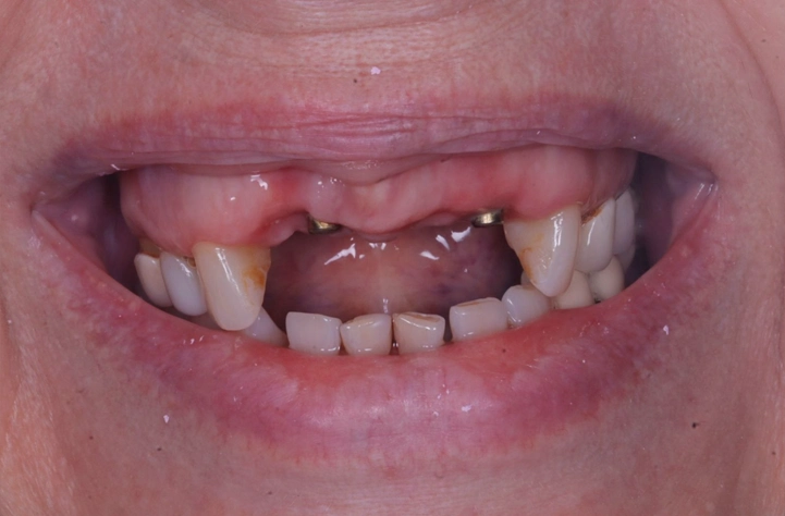
Recupere a função e a estética do seu sorriso. Implantes de alta tecnologia.
Próteses fixas ou removíveis. Devolvemos a função e a naturalidade ao seu sorriso.
Alinhadores invisíveis e aparelhos tradicionais. O melhor tratamento para você.
Tratamento para ronco e apneia do sono. Melhore suas noites e sua saúde.



Publicado em Lorival PossettiTrustindex verifica se a fonte original da avaliação é Google. Sou cliente desde 1994 do Dr. Rogério,excelente profissional, gosta do que faz. Atendimento esmerado por todos. RECOMENDO. Lorival PossettiPublicado em Elber Renan JuvinskiTrustindex verifica se a fonte original da avaliação é Google. Clínica super séria! Resolveu meu problema rapidinho e com eficiência. A estrutura é de premira e o atendimento é excelente, os Profissionais são demais, recomendo demais! Muito feliz com o resultado . Melhor clínica de Curitiba.Publicado em Nicholas De Carvalho AlvesTrustindex verifica se a fonte original da avaliação é Google. Ambiente moderno, confortável e pensado para o bem-estar dos pacientes, extremamente bem cuidado, limpo e acolhedor, transmite confiança e tranquilidade desde a recepção.Publicado em Luiz Felipe de Carvalho AlvesTrustindex verifica se a fonte original da avaliação é Google. Ambiente muito agradável e acolhedor, com ótimo atendimento de ambos os profissionais. RecomendoPublicado em sonia ReginaTrustindex verifica se a fonte original da avaliação é Google. Melhor atendimento Maior qualidade...profissionais super qualificados. Super indico.

CRO 4603

CRO 29990

CRO 23590

CRO 31186

CRO 28042

CRO 26247

CRO 30059

CRO 24457

CRO 26149

CRO 31627

CRO 31672
Copyright © CEOPAR. Todos os direitos reservados.